News新闻动态
华夏源类器官:全球最大类器官样本库首次揭示系统性靶向治疗可有效控制肿瘤发展
日期: 2025/01/17
浏览次数:48

肿瘤类器官生物样本库的建立,为高通量药物筛选、个体化治疗方案的制定以及肿瘤进化及异质性的深入研究提供了有力支持。来自西班牙的科学家在《Clinical Cancer Research》(影响因子IF =10.0)发表了最新研究论文,探讨了腹膜假粘液瘤(PMP)的精准肿瘤学和全身靶向治疗。实验首次证明,全身性靶向疗法可以有效控制PMP肿瘤。目前的数据和临床前模型的收集为评估其他全身性靶向疗法的疗效铺平了道路,从而将精准肿瘤学的前景扩展到PMP患者。

 

图片

1993年1月,“人间天使”奥黛丽赫本香消玉殒,究其原因,与一种极其罕见的疾病——腹膜假性粘液瘤不无关系。

 

腹膜假黏液瘤(PMP)是一种罕见的恶性疾病,通常始于阑尾,由于黏液性肿瘤细胞在腹腔内广泛扩散所致。每年的发病率为百万分之一至三例,是名副其实的罕见病。

 

这种疾病的治疗相对复杂,目前国际医学界治疗PMP的标准治疗手段是通过肿瘤细胞减灭术(CRS)联合腹腔热灌注化疗(HIPEC)的综合治疗方案。然而,由于PMP极为罕见,易被误诊,许多患者出现早期复发并最终死于疾病进展,迫切需要新的治疗策略。

 

近日,来自西班牙Vall d 'Hebron 肿瘤研究所(VHIO)的研究人员联合巴塞罗那圣琼德·斯皮(San Joan Despí Moises Broggi)医院,通过120个PMP样本生成了50个患者衍生的类器官(PDO)和异种移植(PDX)模型,深入研究了该疾病并揭示了KRAS和BRFA药物靶点,为PMP的精准治疗奠定了实验基础。通过实验数据和临床前模型的收集,为临床评估患者的系统性靶向治疗铺平了道路。

图片

01

120个样本,50个PDO模型

为PMP精准治疗铺平道路

 

腹膜假黏液瘤(Pseudomyxoma Peritonei,PMP)是一种鲜为人知的癌症,主要来自破裂的阑尾黏液性肿瘤,少数来自卵巢、胃、结肠、胰腺、胆囊、脐尿管、畸胎瘤等腹腔内器官的原发性黏液性肿瘤。由于PMP的罕见性,疾病初期很容易被误诊为常见病或其他癌症。

 

本研究的资深作者、VHIO干细胞和癌症小组的领导者Héctor G. Palmer表示,“目前,细胞减灭术是治疗的主要手段,但许多患者出现早期复发并最终死于疾病进展。迫切需要提供医疗服务新的治疗策略更有效地对抗这种疾病。”

 

在过去的十年中,三维(3D)患者源性类器官(PDO)培养和体内患者源性异种移植(PDX)。动物模型已经能够在实验室中扩增原发肿瘤细胞。这些临床前模型已被证明忠实地概括了患者的肿瘤生物学和对抗癌药物的反应。

 

最近几年的研究已经建立了来自阑尾肿瘤样本的PDO或PDX类器官(PDXO)模型,它们已被证明可以预测对化疗和免疫治疗的反应。然而,到目前为止,还没有从PMP患者样本中获得的类器官模型。这些临床前模型可以极大地促进深度测序,而不受PMP患者肿瘤样本低细胞性和药物筛选的限制。

 

幸运的是,科学家们正在试图运用新的技术手段,打破这个疾病的治疗局限。

图片

△ VHIO干细胞和癌症小组的领导者Héctor G. Palmer(中)及其团队成员

 

我们已经从腹膜假粘液瘤患者中收集了世界上最大的患者来源的类器官和异种移植物,并表明它们是研究这种疾病的强大临床前模型。”Jordi Martínez -Quintanilla评论道,他是Palmer小组的高级研究员,与同一小组的实验室技术员Débora Cabot一起是这项研究的第一作者。

 

2020年5月至2023年11月,研究人员从50名接受CRS和HIPEC治疗的PMP患者中收集了212份新鲜样本。从每位患者中,收集原发肿瘤(如果有的话)和PMP的多发性腹膜转移性粘液病变。在大约90%的病例中,组织病理学检查显示肿瘤细胞密度低于10%。

图片

△ 参与研究的PMP患者的临床病理参数和临床前模型

 

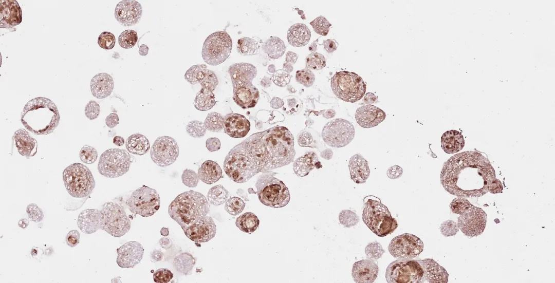
本次实验中,研究人员总共处理了120个样本,共计生成了42个PMP-PDO模型,PMP- PDO培养物扩增几代,直至冷冻。PMP临床前类器官模型保留了原始患者的组织病理学标志物、粘液分泌,并最终保留了对化疗的耐药性。

图片

△ 从50名PMP患者体内提取肿瘤组织,处理了120份样本,生成了42个PDO样本

 

研究人员还将45个外科PMP病变原位植入NOD-SCID小鼠腹腔,生成PMP- PDX模型,并获得其相关的类器官模型。

 

此外,共建立了8个PMP原位PDX模型,7个PMP-PDXO模型。原位PMP- PDX模型显示腹腔内大量粘液性肿瘤组织,这是PMP患者的主要宏观特征。

图片

△ 生成PMP-PDO、PDX和PDXO的模型集合,这些模型具有可识别的KRAS和BRAF药物靶点,以指导分子靶向治疗的选择

 

实验通过全外显子组测序(WES)分析了来自20例不同PMP患者的28个PMP- PDO或PDXO模型,以确定其突变格局。研究人员将PMP临床前模型与TCGA-COADREAD的结直肠癌患者队列、Ang及其同事的研究中的阑尾肿瘤患者队列(32)以及Alakus及其同事的研究中收集的PMP患者石蜡样本(33)进行比较,总结出最常发生突变的基因。

 

研究发现,86%和75%的PMP临床前模型分别出现KRAS和GNAS突变。

 

此外,在PMP的临床前模型中,其他癌症相关基因也发生了突变例如BRAF致癌基因(7%);TGF通路成员TGFBR2(21%)、SMAD2(4%)和SMAD4(11%);肿瘤抑制基因TP53 (14%)。KRAS和BRAF基因突变也通过PCR和Sanger测序验证。

 

组学分析表明,PMP临床前模型中特定基因KRASG12DKRASG12C和BRAFV600E的几个点突变可以用已知的小分子药物靶向,这些小分子药物可以结合并灭活这些突变的蛋白。

 

实验表明,BRAF信号通路抑制BRAFV600EPMP-PDX模型中皮下肿瘤生长。通过PFS分析,在全身治疗后,encorafenib组或双药组90%以上的肿瘤病情稳定持续44天。实验结束时肿瘤切片的免疫组化显示肿瘤细胞减少。

 

图片

△ 生存曲线表示每个肿瘤的PFS百分比(采用Kaplan-Meier生存曲线和log-rank试验组评价小鼠生存)

 

研究人员首次使用腹腔内粘蛋白活检来检测来自癌细胞的循环肿瘤DNA (ctDNA)。然后,他们确定了那些呈现药物突变的临床前模型,并观察到80%的临床前模型呈现KRAS或BRAF突变。

 

接下来,研究人员在原位PMP-PDX模型中评估了系统性BRAF靶向治疗的疗效。生存曲线显示,全身encorafenib靶向治疗在小鼠中提供了深刻的生存益处。实验结束时,肿瘤切片的免疫组化显示肿瘤细胞减少。

 

总之,PDO和PDX模型已经成为研究癌症和评估新治疗方法的最近临床前模型。实验根据肿瘤细胞的患者样本生成PMP-PDO的成功率为49%,并且所有PDO, PDX和PDXO模型都保留了原始患者的组织学标记物,这对于研究PMP生物学以及评估新疗法至关重要。

 

体外实验和体内皮下实验证实BRAFV600E的PMP肿瘤是对BRAF突变非常上瘾,单独使用encorafenib足以有效降低癌细胞活力和肿瘤生长。口服encorafenib在两项体内实验中均显示出强大且持久的治疗益处,并首次表明全身靶向治疗可使PMP患者受益。

 

整体而言,该研究为PMP的精准治疗,尤其是缺乏治疗选择的患者提供了新的策略和希望,他们可以首次从个性化匹配的靶向治疗中获益。利用PDO和PDXO模型探索肿瘤精准治疗,向临床前转化又迈进了一步!

 

02

类器官技术展示出

精准治疗的强大潜力

 

类器官技术在治疗罕见病方面具有显著的积极意义,由于类器官技术能利用患者来源的细胞培养出模拟特定疾病的三维结构,这些模型不仅能复制器官的关键功能,模拟微环境;还能反映个体的遗传特征和疾病表型。

 

类器官的这些特质为研究疾病机制,测试药物有效性、安全性,加速药物研发,实现患者个性化治疗方案等提供了强有力的工具,尤其在精准医疗和个性化治疗方面展现出巨大潜力。

 

2023年,研究人员建立了一个由110个类器官模型组成的头颈癌(HNC)生物库,其中包括65个肿瘤模型。[2]

图片

△ 头颈癌生物库类器官

 

这些类器官保留了在HNC中发现的DNA改变,科学家们通过将这些类器官与患者放化疗反应的试验效果对比,可以帮助测试具有潜力的治疗方法,这是头颈癌精准个性化治疗迈出的重要一步

 

2017年,荷兰Hans Clevers博士领导的团队在《Cell》刊文,文章介绍了一种可以长期培养和维持乳腺上皮类器官的方法,该团队报道乳腺癌类器官培养成功率在80%以上[3]

图片

△ 建立乳腺癌类器官生物库

 

他们成功建立了100例以上乳腺癌原发瘤或者转移瘤类器官,并且对模型进行了深入的组织病理学、基因表达、基因测序等分析。乳腺癌类器官样本库为患者的个性化治疗深入研究提供了有价值的临床前乳腺癌模型,实现了对乳腺癌异质性的高通量药物筛选

 

综上所述,类器官技术将在疾病治疗领域具有重要的现实意义和广阔的发展前景。随着类器官技术的不断发展和应用的深入,未来将有更多的类器官生物样本库出现,助力疾病治疗,尤其是肿瘤精准医学和个性化治疗方案的新策略,新药物,为患者提供更多的治疗选择。

 

Write in the last

写在最后

尽管肿瘤类器官在精准医疗中具有广泛应用前景,但仍面临一些挑战,如培养条件的标准化、长期培养的稳定性、基因突变的风险,以及技术复杂性和实验标准化需求。未来的研究需要在提高类器官的复制性和可靠性、优化培养方法、发展自动化技术、建立质量控制体系等方面取得突破,以实现肿瘤类器官在精准医疗中的广泛应用。

 

参考资料(可上下滑动查看):

1, Jordi Martínez-Quintanilla et al, Precision oncology and systemic targeted therapy in Pseudomyxoma Peritonei, Clinical Cancer Research (2024). DOI: 10.1158/1078-0432.CCR-23-4072

 

2, Rosemary Millen et al, Patient-derived head and neck cancer organoids allow treatment stratification and serve as a tool for biomarker validation and identification, Med (2023). DOI: 10.1016/j.medj.2023.04.003

 

3, Norman Sachs, et.al., A Living Biobank of Breast Cancer Organoids Captures Disease Heterogeneity. Cell 2017.https://www.ncbi.nlm.nih.gov/pubmed/?term=29224780

021-61625481
华夏源(上海)iPSC及类器官研究中心:上海市浦东新区金湘路861号浦东建设德勤园D栋
华夏源(上海)药品级GMP基地:上海市闵行区联航路1188号浦江智谷23号楼
华夏源(上海)产业发展中心:上海市黄浦区中山东二路600号BFC外滩金融中心S2栋27楼
administration@sinoneural.com
版权所有© 2024-2025 华夏源细胞工程集团股份有限公司 All Rights Reserved 沪公网安备 31011502402412 号 沪ICP备18026206号-7