News新闻动态
华夏源类器官科研速递 | iPSC 衍生软骨类器官在关节软骨缺损的灵长类动物模型中的异体植入
日期: 2025/02/05
浏览次数:44

文章题目:Engraftment of allogeneic iPS cell-derived cartilage organoid in a primate model of articular cartilage defect

发表期刊:Nature Communications(IF: 14.7)

发表日期:2023年2月20日

作者及单位:大阪大学Noriyuki Tsumaki教授团队

关键词:#iPSC  #Cartilage organoid  #Proteoglycan 4  #Engraftment of allogeneic

研究内容:关节软骨的缺损不能自发愈合,并逐渐会发展为慢性炎症。诱导多能干细胞(iPSC)及其衍生的软骨类器官在修复关节软骨损伤中具有广泛的前景。然而,同种异体软骨移植在灵长类动物模型上的研究十分有限。本文展示了iPSC衍生软骨类器官同种异体移植至灵长类膝关节软骨缺损动物模型的研究。结果显示该类器官能够在膝关节损伤部位存活,并逐渐整合重塑为关节软骨,进而修复受损组织。本研究证明了iPSC衍生的软骨类器官在临床治疗关节软骨缺损的潜力。

图片

 

1

 

研究背景

 

关节软骨覆盖骨骼末端并提供润滑作用,这对于关节的平稳运动和减震至关重要。然而,关节软骨的自我修复能力有限,且容易导致包括关节炎在内的慢性疾病。尽管临床上尝试使用自体软骨细胞移植治疗关节软骨缺损,但由于其有限的增殖能力,往往不能满足治疗需求。

 

诱导多能干细胞(induced pluripotent stem cells, iPSC)衍生的软骨类器官在修复关节软骨损伤中具有广阔的应用前景,通过将iPSC诱导形成软骨类器官,理论上可以无限获得可供移植的软骨类器官。

 

 

2

 

研究结果

 

2.1 cyiPS 细胞衍生软骨类器官(cyiPS-Cart)的建立

 

研究团队首先将食蟹猴iPS(cyiPSC)1466A1细胞系诱导成软骨细胞,并将获得的软骨细胞转移至悬浮培养基进行3D培养,软骨细胞产生并累积细胞外基质(ECM),最终形成直径为1-3 mm的cyiPSC衍生软骨类器官(cyiPS-Cart)

图片

△ cyiPSC诱导形成软骨类器官的示意图

 

2.2 cyiPS-Cart在软骨缺损的灵长类动物模型中的异体移植

 

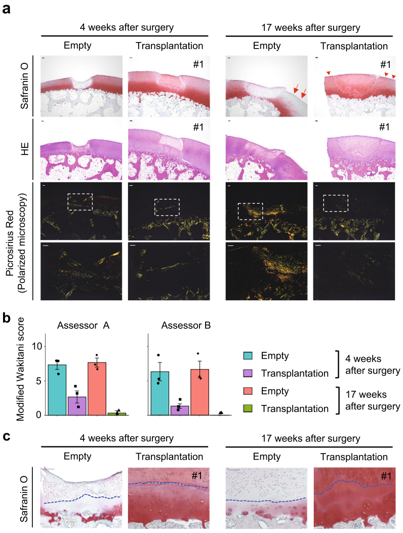
研究团队构建了12只软骨缺损的食蟹猴模型,并在其中6只猴中移植了cyiPS-Cart。

 

结果显示,在4周和17周后对照组的软骨缺损被棕色组织填充,而移植组的软骨缺损在4周时被透明组织填充,在17周时移植区域和周围的关节软骨高度相似。

图片

△ cyiPS-Cart在关节软骨缺损部位存活并逐渐与周围正常软骨组织整合

 

2.3 cyiPS-Cart保护关节软骨损伤部位周围的正常软骨组织

 

研究团队通过组织切片及软骨染色,发现对照组的组织缺损中由纤维组织填充,而移植组的组织缺损中由软骨组织填充。

 

术后17周的进一步分析发现,对照组在缺损周围的关节软骨进行性退化,而移植组在软骨缺损周围的关节软骨检测到蛋白聚糖,表明缺损周围的关节软骨得到了保护。此外,在cyiPS-Cart异体移植17周后,没有观察到免疫排斥反应

图片

△ cyiPS-Cart帮助保护关节软骨损伤部位周围正常软骨组织

 

2.4 cyiPS-Cart在移植后表达软骨特异性标志

 

scRNA-seq 分析显示,cyiPSC在形成类器官后表达软骨常见标志物ACAN,COL1A1 和 COL2A1。另外,在移植前后的cyiPS-Cart的差异表达基因中,关节软骨特异性标记蛋白聚糖4(PRG4)表达增加,IHC染色也发现PRG4在移植后表达增加。上述结果表明cyiPS-Cart在移植后,可以帮助关节软骨重获润滑功能

图片

△ cyiPS-Cart在移植后高表达PRG4,获得与正常软骨组织相似的润滑功能

 

 

3

 

研究结论

 

本研究深入分析了iPSC衍生软骨类器官在灵长类动物模型中的生物学特性,发现异体iPSC衍生的软骨类器官可以长期在关节软骨缺损部位存活,并起到重塑关节软骨、阻止病灶周围软骨退化的作用。

 

 

4

 

研究亮点

 

● 构建了食蟹猴iPSC衍生软骨类器官:将食蟹猴iPSC诱导形成软骨细胞,继而在悬浮培养基中培养形成软骨类器官cyiPS-Cart。

 

● 证实cyiPS-Cart可以在缺损部位存活并整合修复软骨损伤:移植的cyiPS-Cart在软骨损伤部位可以长期存活,逐渐形成了透明软骨组织填充损伤部位,并保护了损伤部位周围的正常软骨组织。

 

● cyiPS-Cart在移植后高表达软骨组织特异性标志PRG4:cyiPS-Cart在移植后高表达PRG4,表明cyiPS-Cart可以帮助关节软骨重获润滑功能。

 

 

5

 

研究路线图

图片

 

参考文献:

Abe K, Yamashita A, Morioka M, Horike N, Tsumaki N. Engraftment of allogeneic iPS cell-derived cartilage organoid in a primate model of articular cartilage defect. Nat Commun. 2023 Feb 20;14(1):804. doi: 10.1038/s41467-023-36408-0.

021-61625481
华夏源(上海)iPSC及类器官研究中心:上海市浦东新区金湘路861号浦东建设德勤园D栋
华夏源(上海)药品级GMP基地:上海市闵行区联航路1188号浦江智谷23号楼
华夏源(上海)产业发展中心:上海市黄浦区中山东二路600号BFC外滩金融中心S2栋27楼
administration@sinoneural.com
版权所有© 2024-2025 华夏源细胞工程集团股份有限公司 All Rights Reserved 沪公网安备 31011502402412 号 沪ICP备18026206号-7