News新闻动态
华夏源类器官 | Cell:成功构建人类背根神经节时空发育机制和类器官模型!
日期: 2025/02/06
浏览次数:45

背根神经节(DRG)起源于神经嵴,负责传递感觉信息。近日,我国科学家在《Cell》(IF:45.5)发表研究成果,深入解析人类背根神经节中感觉神经元的发育过程,通过构建人类胚胎DRG的单细胞时空转录组图谱和人类DRG类器官模型,增强对感觉神经元多样化的分子机制的理解,也为研究感觉神经元的分化和功能提供新的实验平台。

 

图片

人类是如何通过感觉神经元感知周遭、认识世界的,这一直是神经科学研究中的重要主题。近年来,随着研究的不断深入,科学家们发现感觉神经元不仅仅是简单的信号传递者,它们通过特定的受体和信号通路精确感知各种刺激,例如温度、压力和化学信号,进而调控人们对周围环境的反应。

 

背根神经节(DRG)作为感觉神经元胞体的聚集地,承担着将感觉信号从外周传入中枢的重要功能。神经嵴细胞(NCC)可以分化为DRG中的多种感觉神经元和神经胶质细胞,这一过程需要特异的信号分子和转录因子的精细调控。因此,理解它们的发育过程对于揭示感觉信息的处理机制至关重要。

 

目前,对DRG发育和细胞类型及功能的研究主要集中在小鼠模型上,然而,人类感觉神经元在亚型和功能基因表达上与小鼠存在一定差异。因此,对人类DRG发育特点和细胞命运决定的调控机制,仍需要新的研究模型。

 

近日,中国科学院生物物理研究所及北京师范大学等科研机构合作的科学家团队,在《Cell》期刊发表了最新研究论文[1]。该研究深入解析了人类背根神经节中感觉神经元的发育过程,通过构建人类胚胎DRG的单细胞时空转录组图谱和人类DRG类器官(hDRGO)模型,增强了对感觉神经元多样化的分子机制的理解,也为研究感觉神经元的分化和功能提供了新的实验平台。

图片

hDRGO模型,能够模拟人类感觉神经元的发育过程,为深入解析人DRG发育的调控机制及为未来临床应用提供了理想的体外模型和宝贵的实验基础。该研究为人类胚胎背根神经节研究提供了重要的时空转录组数据,有助于深入理解人类感知系统的复杂性,并为改善与感觉神经元相关疾病的治疗提供了新思路和方法。

 

01

人类DRG时空发育机制

和类器官模型的构建

 

背根神经节(Dorsal Root Ganglia, DRG)是感觉神经元胞体的聚集地,负责将来自身体感受器的全部神经冲动(包括一般躯体感觉和内脏感觉),通过向心纤维传送到脊髓。这一过程是身体感觉的始发站,对于感知外界环境变化和内部状态至关重要。

 

神经嵴细胞(NCC)在DRG内迁移和分化,产生不同感觉神经元类型。背根神经节在感觉信号传递、痛觉感知、神经病理性疼痛治疗以及感觉神经元发育研究中扮演着关键角色。研究背根神经节发育的调控机制,对于深入研究感觉神经元发育,探究神经元相关疾病治疗新方案具有重要的生物意义。

 

此前的单细胞RNA测序(scRNA-seq)研究揭示了小鼠DRG中的许多感觉神经元亚型。每种亚型都以独特的分子特征为标志,这些特征有助于体感感知的复杂性。尽管在了解小鼠感觉神经元发育方面取得了重大进展,但目前对人类DRG发育的理解仍十分有限。

 

近日,中科院和北师大联合科研团队发表最新研究成果,论文深入分析了人类背根神经节中感觉神经元的发育过程,通过模拟调控感觉神经元谱系分化的多层信号通路,建立了人类DRG类器官模型

图片

△ 人类背根神经节时空发育机制和类器官模型构建

 

为了系统地研究人类DRG中体感神经元多样化的发育动力学和机制,研究人员对第7至21孕周(GW)的DRG样本进行了snRNA-seq分析,并观察到来自相应妊娠阶段的样本之间有明显的发育连续性和高度转录相似性。

 

在神经谱系中,研究人员鉴定了感觉神经元祖细胞(SNP)、非特化感觉神经元(uSN)和有丝分裂后特化感觉神经元,包括本体感受器、机械感受器、C-LTMR和伤害感受器。

 

为了进一步增强对空间基因表达谱的理解,研究人员利用TF-seqFISH以单细胞分辨率构建了 1085个转录因子(TF)的表达图谱,重点关注人类DRG的关键发育阶段(GW8、GW10和GW18)。通过将这些TF图与snRNA-seq数据相结合,研究者开发了一个全面的DRG时空图谱,揭示了人类DRG发育过程中细胞多样化和空间特征的动态变化。

图片

△ 人胚胎背根神经节的细胞异质性和发育里程碑

 

研究团队发现,神经嵴细胞(NCC)在DRG区域内经历两个神经发生的关键窗口期,产生两种未特定分化的感觉神经元(uSN1和uSN2),这些神经元进一步受到转录因子的调控。

 

研究人员通过TF-seqFISH进一步分析,了解到不同细胞类型的独特时间分布:uSN1仅在GW8 观察到,而uSN2在GW8和GW10均观察到。

 

与神经发生阶段(GW10)中存在的少数神经胶质细胞相比,神经胶质细胞在GW18 成一个围绕神经元的结构环,表明神经胶质细胞增殖和分化处于晚期。

 

此外,免疫荧光染色还验证了从单细胞转录谱推断的这些发育轨迹,显示在GW7时,存在相当比例的uSN1衍生神经元(NTRK3/RUNX3/ISL1,大直径神经元谱系)和uSN2衍生神经元(NTRK1/RUNX1/ISL1,小直径神经元谱系)

 

总的来说,这些发现阐明了胚胎早期和中期发育过程中人类DRG中细胞规格的严格时间顺序和细胞类型的复杂结构特征。

 

为了研究细胞规格背后的分子逻辑,研究人员利用RNA速度分析来重建NCC衍生细胞的发育轨迹,这些细胞明显分为感觉神经元祖细胞(SNP)和雪旺细胞前体(SCP),SNP进一步分化为uSN1和uSN2亚型,而SCP进展分化为卫星神经胶质细胞 (SGC)和雪旺细胞(SC)。该轨迹与妊娠阶段的DRG细胞密度分布一致。

图片

△ 信号通路和基因调控网络确保神经嵴细胞中的多重命运分化潜能

 

在随后的分析中,科研人员将uSN2衍生的神经元细分为13种亚型,包括12种伤害感受器亚型和C-LTMR,每种亚型都由离子通道、受体和已知伤害感受器特异性标记物的不同轮廓定义。研究人员观察到某些伤害感受器亚型表达多种感觉受体。

 

例如,表达TRP(瞬时受体电位)通道的亚型N1-N5主要与介导温度和有害感觉有关。以KIT和TRPM8为标志的N1伤害感受器可能是对寒冷敏感的伤害感受器。以BMPR1B、PROKR2、PTGER3和CDHR1为特征的亚型N2-N4可能支配更深的组织,如肌肉和内脏。以TRPM8为特征的N6伤害感受器主要与冷感的检测有关。

 

在hDRGO中,研究团队发现了一群人类特异富集的NTRK3/DCC伤害感受器,这些感受器可以被辣椒素激活,表明它们在痛觉感知中的重要作用,证明了该DRG类器官可以获得具有一定功能的感觉神经元

图片

△ 第二感觉神经发生波的伤害感受器多样性和分子逻辑

 

利用广义线性模型根据时间转录组学谱估计人类和小鼠样本之间的等效年龄,研究人员还比较了人类DRG(涵盖 NCC 和神经元谱系细胞)与小鼠DRG的发育动力学。经比较发现,两者在感觉神经元的发育进程、基因表达谱和细胞亚型上存在差异。尤其该研究揭示了一类在人类DRG中特异富集的伤害感受器亚型,以DCC/NTRK3/NTRK1基因的表达为特征,这一群体在发育和成年的人DRG中均特异性存在,揭示了对感觉系统进化适应的重要见解。

图片

△ 关键调节子的基因网络

 

总之,该研究基于对人类DRG发育过程的解析,成功建立了人类背根神经节类器官模型,在体外模拟感觉神经元多样性和功能建立过程,并应用类器官探究了人类感觉神经元发育调控和人性进化上的特征。本研究为人类胚胎背根神经节研究提供了重要的时空转录组数据,建立的人类背根神经节类器官模型对感觉神经元发育和相关疾病的研究具有重要意义。

 

02

类器官模型:

神经医学领域的革新者

 

利用小鼠模型,科学家们初步揭开了感觉神经元多样性和命运调控的“黑匣子”。而类器官模型的出现,加深了对人类感觉神经元特征、发育及其功能的研究,有助于理解人类感知觉原理,为精准治疗人类“痛”“痒”神经相关疾病开辟新思路。

 

与此同时,类器官模型也为神经系统领域疾病研究和治疗进展提供了前所未有的新机遇。

 

类器官揭示神经细胞衰老与帕金森病关系

 

衰老被认为是罹患帕金森病等神经退行性疾病的最强风险因素。面对发病机制复杂的帕金森病,有研究发现,或与脑内多巴胺神经元的退化有关,也涉及遗传和环境因素。

 

近年来,研究者们发现,细胞老化过程中的糖基化作用,尤其是高级糖基化终产物(AGEs)的积累,可能参与了帕金森病病理的关键进程。

 

研究人员就此提出了假设——糖基化终产物的积累会导致蛋白质降解、修复系统负担过重而引发损害,最终造成蛋白质稳态失败。

 

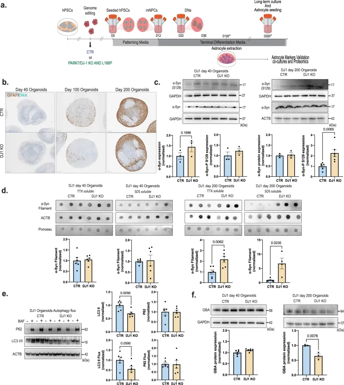
2024年1月,美国纽约干细胞研究所的科研团队在《Nature Communications》发表研究论文[2],他们利用人类中脑类器官模型,揭示了星形胶质细胞在神经细胞衰老与帕金森病中的关联作用

 

研究人员在人脑类器官中发现,在调节缺乏帕金森病相关蛋白质(DJ1)时,星形胶质细胞中的蛋白质会发生功能异常。DJ1功能丧失会导致溶酶体功能异常,致病的突触核蛋白聚集增加并引起神经元细胞死亡。

 

该研究还指出星形胶质细胞功能障碍、糖基化和广泛的蛋白质聚集是家族性DJ1相关帕金森病的基本特征,并为开发更有效的神经退行性疾病治疗方法提供了策略。

图片

△ DJ1 KO人中脑类器官(hMIDO)α-syn和自噬表型

 

类器官揭示脊髓性肌萎缩症“前奏”

 

脊髓性肌萎缩症(SMA)是一种严重的神经系统罕见病,其发病机制主要与生存运动神经元蛋白(Survival Motor Neuron, SMN)的缺失或功能缺陷有关。

 

近年来,医学界对脊髓性肌萎缩症的研究取得了显著进展,特别是基因疗法的出现,为SMA患者提供了新的治疗选择。尽管目前的疗法可以缓解症状,但这些手段通常在症状出现后才开始应用,对于疾病早期阶段的干预和治疗仍然存在挑战。

 

为寻找更好的治疗方案,德国神经退行性疾病中心和德累斯顿理工大学的科学家们利用首个同源性的SMA患者来源的诱导多能干细胞(iPSC)模型和脊髓类器官(SCO)系统,以模拟脊髓的发育环境。同时,这些细胞系也是通过对受SMA影响的个体的皮肤细胞进行CRISPR-Cas9基因编辑技术而来(研究人员纠正了SMA iPSCs中导致外显子7跳跃的核苷酸变化,生成了同源性对照细胞系)。此外,这些iPS细胞系被用来并利用单细胞RNA测序(scRNA-seq)技术对神经干细胞的特异性进行纵向分析。

图片

△ 同源性iPSCs构建的脊髓类器官(SMA-SCO),包含脊髓和肌肉组织关键特征,每个大约有一粒米大小

 

该研究更准确地模拟疾病相关的遗传背景,深入探索SMA疾病初期的神经发育缺陷,为理解该病发病机制,寻求未来的治疗策略提供了新视角。

 

Write in the last

写在最后

类器官模型为神经退行性疾病发病机制、药物筛选及个性化治疗提供了优秀的体外场所。随着科研技术日新月异,更多试验结果不断涌现,未来将有更多的数据来验证类器官应用于精准治疗的安全性和有效性,为神经系统疾病患者带来治疗新希望。

 

 

参考文献

[1] Tian Lu,Xu Zhang,Qian Wu,Xiaoqun Wang,et,al.Decoding transcriptional identity in developing human sensory neurons and organoid modeling,cell(2024),DOI: 10.1016/j.cell.2024.10.023

 

[2]  Gustavo Morrone Parfitt,Elena Coccia,et,al.Disruption of lysosomal proteolysis in astrocytes facilitates midbrain organoid proteostasis failure in an early-onset Parkinson’s disease model,Nature Communications,10 January 2024, DOI:10.1038/s41467-024-44732-2

 

[3] Tobias Grass,Zeynep Dokuzluoglu,Natalia Rodriguez-Muela,et,al.Isogenic patient-derived organoids reveal early neurodevelopmental defects in spinal muscular atrophy initiation, Cell Reports Medicine (2024). DOI: 10.1016/j.xcrm.2024.101659

 

021-61625481
华夏源(上海)iPSC及类器官研究中心:上海市浦东新区金湘路861号浦东建设德勤园D栋
华夏源(上海)药品级GMP基地:上海市闵行区联航路1188号浦江智谷23号楼
华夏源(上海)产业发展中心:上海市黄浦区中山东二路600号BFC外滩金融中心S2栋27楼
administration@sinoneural.com
版权所有© 2024-2025 华夏源细胞工程集团股份有限公司 All Rights Reserved 沪公网安备 31011502402412 号 沪ICP备18026206号-7