News新闻动态
华夏源类器官科研速递 | 患者来源的胰腺癌类器官可以确定溶瘤腺病毒的治疗反应
日期: 2025/02/11
浏览次数:42

文章题目:Patient-derived pancreatic tumour organoids identify therapeutic responses to oncolytic adenoviruses

发表期刊:EBioMedicine(IF:9.88)

发表日期:2020年6月1日

作者及单位:巴塞罗那大学Cristina Fillata教授团队

关键词:#Oncolytic adenovirus  #Pancreatic ductal adenocarcinoma  #Orthotopic tumours

研究内容:本文建立胰腺导管腺癌(PDAC)及其癌旁来源的类器官(PDO),并在PDO中评估溶瘤腺病毒(OA)的复制性、肿瘤选择性和敏感性。发现OA仅在来自PDAC的PDO中复制,并表现出良好的肿瘤选择性。同时,PDO模型对OA的敏感性表现出个体差异,且与OA在皮下异种移植(PDOXs)小鼠中的抗肿瘤效果一致。此外,文章还构建了PDOXs来源的类器官(PDOXOs),并发现其对OA的敏感性同样有助于选择有效治疗原发性和转移性胰腺癌的方案。总之,文章成功证明胰腺PDO可以作为预测OA反应的有力工具。

图片

 

1

 

研究背景

 

胰腺导管腺癌(PDAC)是一种预后极差的恶性肿瘤,5年总生存率低于7%且缺乏特异性症状。胰腺癌患者来源的类器官(PDO)是研究胰腺导管腺癌(PDAC)的新兴模型,也是预测临床治疗反应的潜在工具。溶瘤腺病毒(OA)疗法被认为是一种新兴的胰腺癌治疗方式,然而迄今为止,该疗法的临床研究显示出很大的反应差异,这可能是由PDAC肿瘤自身的异质性导致。因此,在本文的工作中,探索了使用PDAC类器官模型评估OA疗法的选择性和有效性,以尝试帮助患者制定基于病毒疗法的个性化治疗方案。

 

 

2

 

研究结果

 

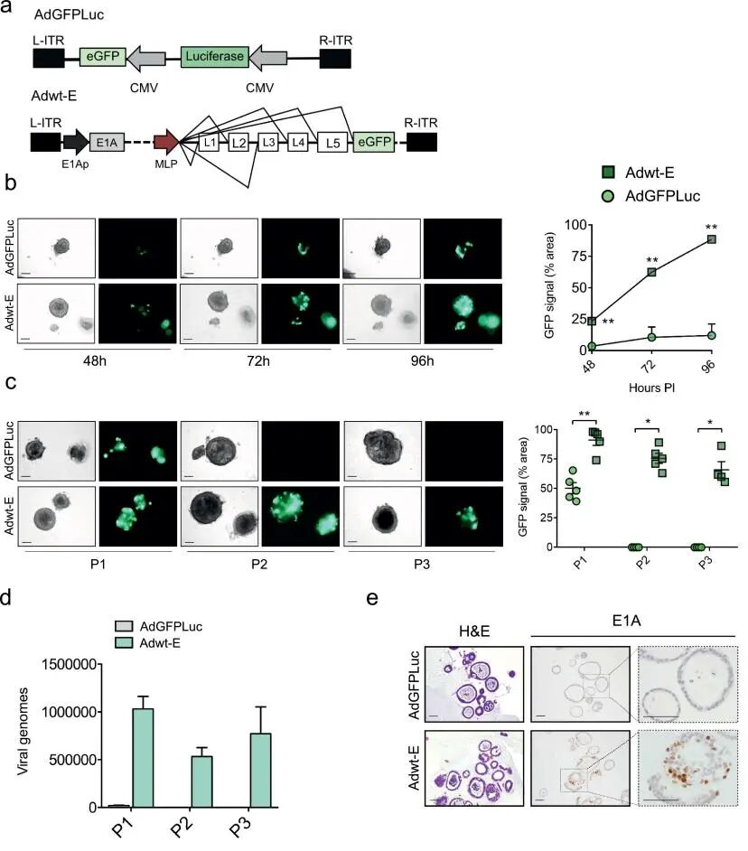
2.1 腺病毒在PDO中稳定感染与复制

 

研究团队首先构建了PDAC患者来源的肿瘤和癌旁PDO模型,并通过H&E、IHC以及基因测序等验证PDO的组织病理学以及基因组学特征与亲本组织保持一致。接下来,使用AdGFPLuc或Adwt(复制型)溶瘤腺病毒感染肿瘤PDO,然后检测P1-P3代腺病毒的表达情况,发现仅在Adwt感染后的PDO中检测到病毒的稳定传播和复制。

图片

△ 腺病毒在PDO模型中稳定传播和复制

 

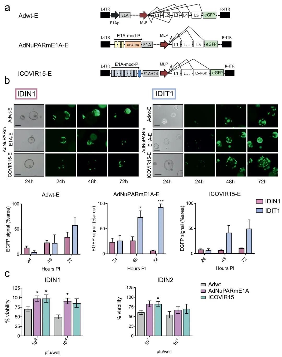
2.2 OA在PDO中具有肿瘤选择性

 

接下来,研究人员分用OA(AdNuPARmE1A、ICOVIR15)和对照非选择性病毒(Adwt)感染肿瘤和癌旁PDO,并检测病毒的表达情况以及细胞毒性。结果显示,肿瘤PDO中三种病毒的表达均随时间增加,而癌旁PDO中则缺乏OA的复制。另外,在癌旁PDO中,OA在测试剂量下不会引发细胞毒性,Adwt病毒则导致30%-50%(1×104 pfu/well)的PDO致死率。以上结果表明,AdNuPARmE1A和ICOVIR15具有肿瘤选择性,可以作为研究OA肿瘤选择性的工具。

图片

△ OA在PDAC组织及其癌旁PDO中选择性复制

 

2.3 PDO对OA表现出不同的敏感性

 

研究团队测试了5例患者的肿瘤PDO对AdNuPARmE1A和ICOVIR15的敏感性。结果显示,AdNuPARmE1A和ICOVIR15均以剂量依赖性方式诱导细胞死亡,且肿瘤PDO对OA表现出不同的敏感性(对AdNuPARmE1A最敏感的是患者IDIT1 PDO;对ICOVIR15最敏感的是患者IDIT6 PDO)。然后,研究团队将IDIT1或IDIT6皮下注射到裸鼠体内,并使用OA治疗。结果显示,两种病毒均可显著抑制肿瘤生长,但接受AdNuPARmE1A治疗的IDIT1组和接受ICOVIR15治疗的IDIT6组效果更明显,与体外数据一致。

 

最后,研究团队使用AdNuPARmE1A或白蛋白紫杉醇+吉西他滨(联合或不联合AdNuPARmE1A)处理IDIT1和IDIT2,发现白蛋白紫杉醇、吉西他滨和OA联用具有最高的肿瘤细胞杀伤效果。上述结果表明,PDAC来源的PDO对OA的敏感性存在个体差异,可用于测试OA与标准化疗联合的效果。

图片

△ PDAC PDO对溶瘤腺病毒的敏感性表现出个体差异

 

2.4 PDOX反映了肿瘤PDO对OA的反应

 

研究团队将IDIT1和IDIT6 PDO植入小鼠体内,构建PDOX并进一步评估腺病毒的溶瘤反应。结果显示,OA在原发性肿瘤和转移瘤中的作用相似,与体外数据一致,表明肿瘤进展不会干扰病毒的活性。以上结果说明,PDO对OA的敏感性测试将有助于制定基于病毒疗法的个性化治疗方案。

 

 

3

 

研究结论

 

在本研究中,研究人员构建了患者来源的PDO以及PDXO。随后利用上述模型测试单独了使用OA或与化疗药物组合的敏感性,成功证明类器官是用于研究患者特异性反应的可靠体外模型,有助于为患者制定基于病毒疗法的个性化治疗方案。

 

 

4

 

研究亮点

 

● 验证OA在PDO中的选择性:OA仅在来自PDAC的PDO中复制,且肿瘤PDO对不同OA疗法的敏感性均存在个体差异。

 

● 证实PDO可以为个性化治疗方案提供帮助:PDO可以很好的预测患者对OA的治疗反应,有助于制定基于病毒疗法的个性化治疗方案。

 

 

5

 

研究路线图

图片

 

参考文献

Raimondi G, Mato-Berciano A, Pascual-Sabater S, et al. Patient-derived pancreatic tumour organoids identify therapeutic responses to oncolytic adenoviruses. EBioMedicine. 2020;56:102786. doi:10.1016/j.ebiom.2020.102786

021-61625481
华夏源(上海)iPSC及类器官研究中心:上海市浦东新区金湘路861号浦东建设德勤园D栋
华夏源(上海)药品级GMP基地:上海市闵行区联航路1188号浦江智谷23号楼
华夏源(上海)产业发展中心:上海市黄浦区中山东二路600号BFC外滩金融中心S2栋27楼
administration@sinoneural.com
版权所有© 2024-2025 华夏源细胞工程集团股份有限公司 All Rights Reserved 沪公网安备 31011502402412 号 沪ICP备18026206号-7